Database Open Access
Hillel Yaffe Glaucoma Dataset (HYGD): A Gold-Standard Annotated Fundus Dataset for Glaucoma Detection
Or Abramovich , Hadas Pizem , Jonathan Fhima , Eran Berkowitz , Ben Gofrit , Meital Baskin , Meishar Meisel , Jan Van Eijgen , Eytan Blumenthal , Joachim Behar
Published: March 16, 2026. Version: 1.1.0
When using this resource, please cite:
Abramovich, O., Pizem, H., Fhima, J., Berkowitz, E., Gofrit, B., Baskin, M., Meisel, M., Van Eijgen, J., Blumenthal, E., & Behar, J. (2026). Hillel Yaffe Glaucoma Dataset (HYGD): A Gold-Standard Annotated Fundus Dataset for Glaucoma Detection (version 1.1.0). PhysioNet. RRID:SCR_007345. https://doi.org/10.13026/m92s-0z95
Please include the standard citation for PhysioNet:
(show more options)
Goldberger, A., Amaral, L., Glass, L., Hausdorff, J., Ivanov, P. C., Mark, R., ... & Stanley, H. E. (2000). PhysioBank, PhysioToolkit, and PhysioNet: Components of a new research resource for complex physiologic signals. Circulation [Online]. 101 (23), pp. e215–e220. RRID:SCR_007345.
Abstract
Glaucomatous optic neuropathy (GON) is a leading cause of irreversible blindness worldwide, affecting an estimated 64.3 million people globally with projections reaching 111.8 million by 2040. Approximately 50% of cases remain undiagnosed until advanced stages when vision loss becomes noticeable. Traditional diagnosis requires comprehensive ophthalmic examinations by specialists, creating accessibility barriers in many regions.
The Hillel Yaffe Glaucoma Dataset (HYGD) addresses a critical limitation in existing GON datasets: the lack of gold-standard annotations. Unlike most publicly available datasets where glaucoma labels are determined solely from digital fundus images (DFIs), HYGD's labels are based on comprehensive ophthalmic examinations, including visual acuity assessment, intraocular pressure measurement, optical coherence tomography (OCT), visual field tests, and at least one year of follow-up monitoring.
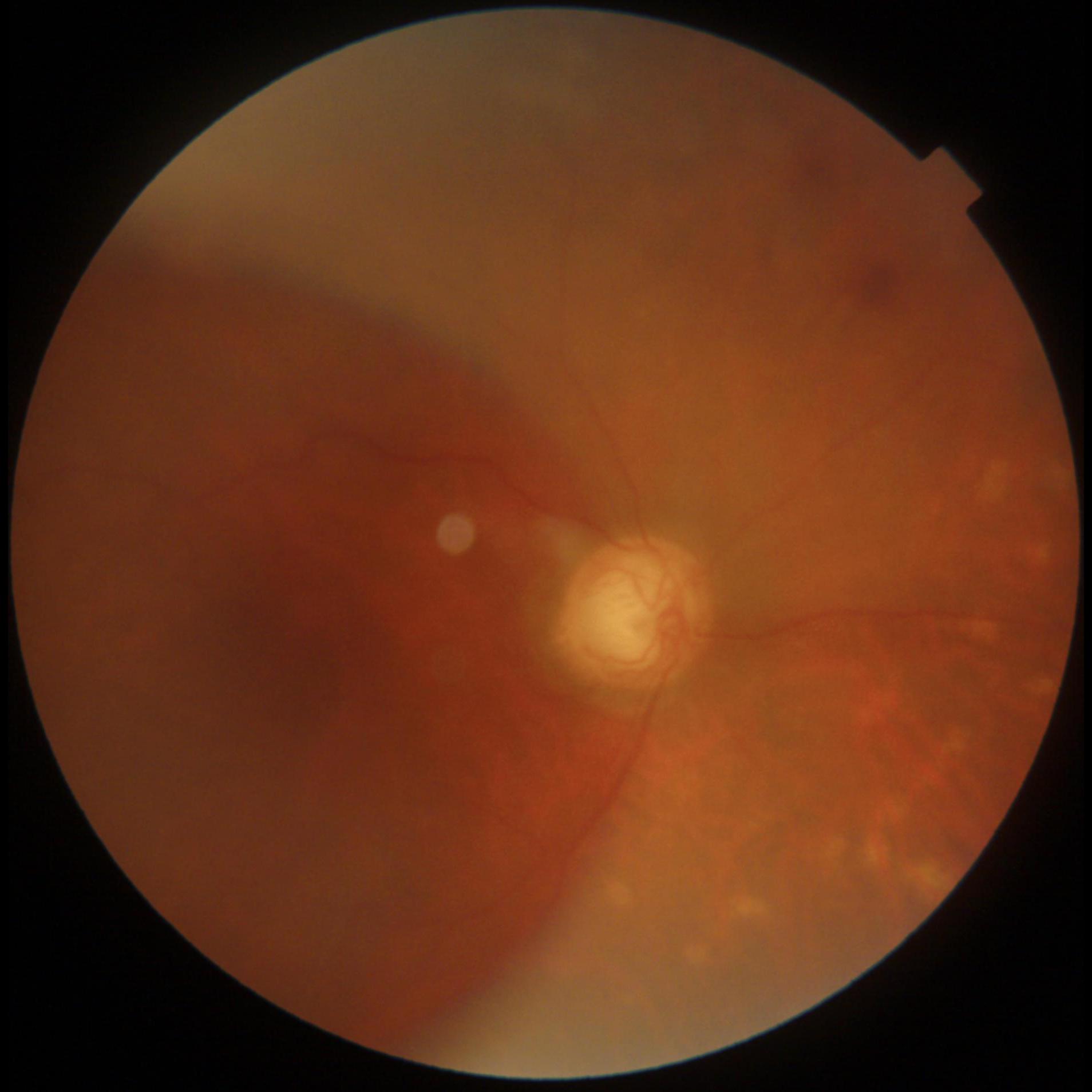
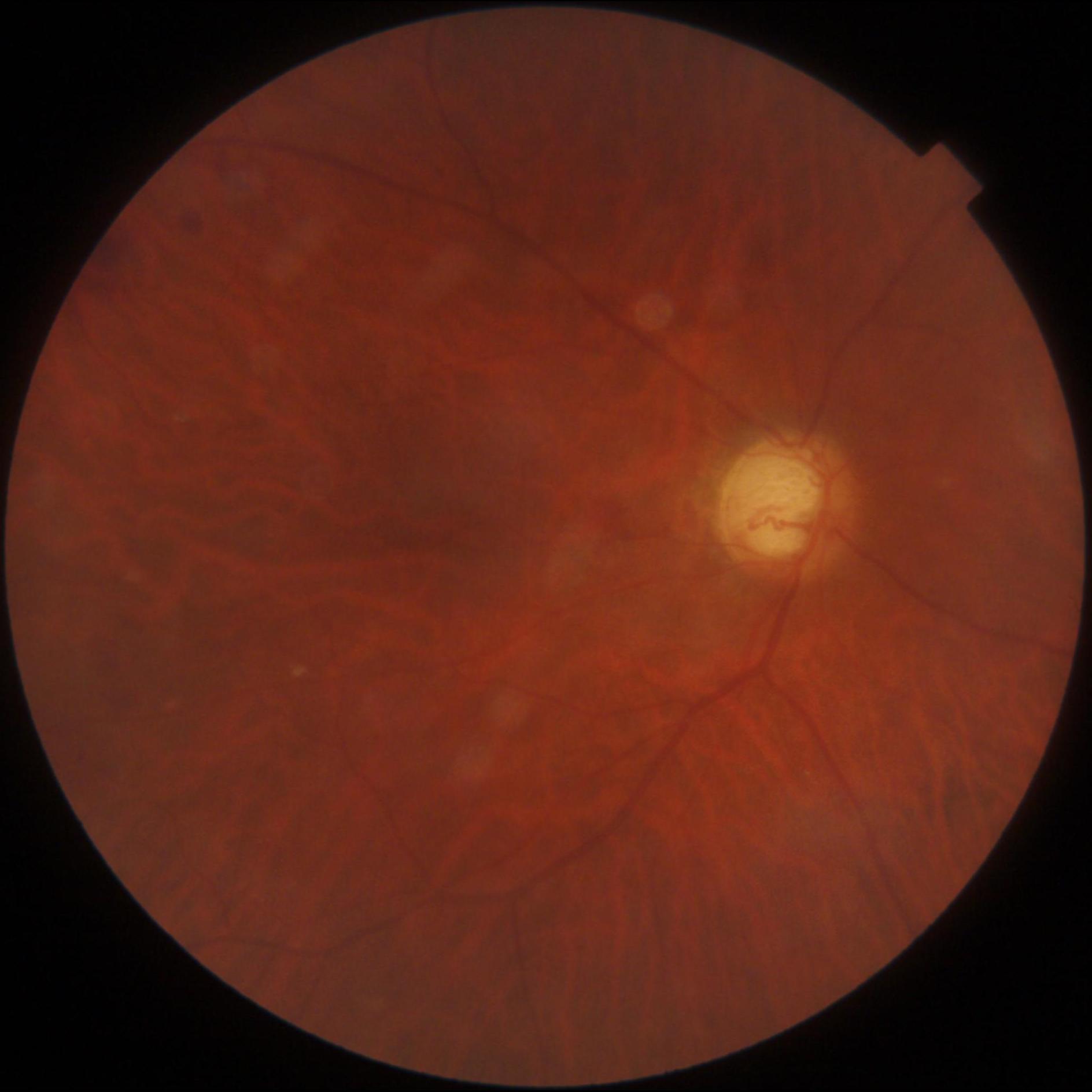
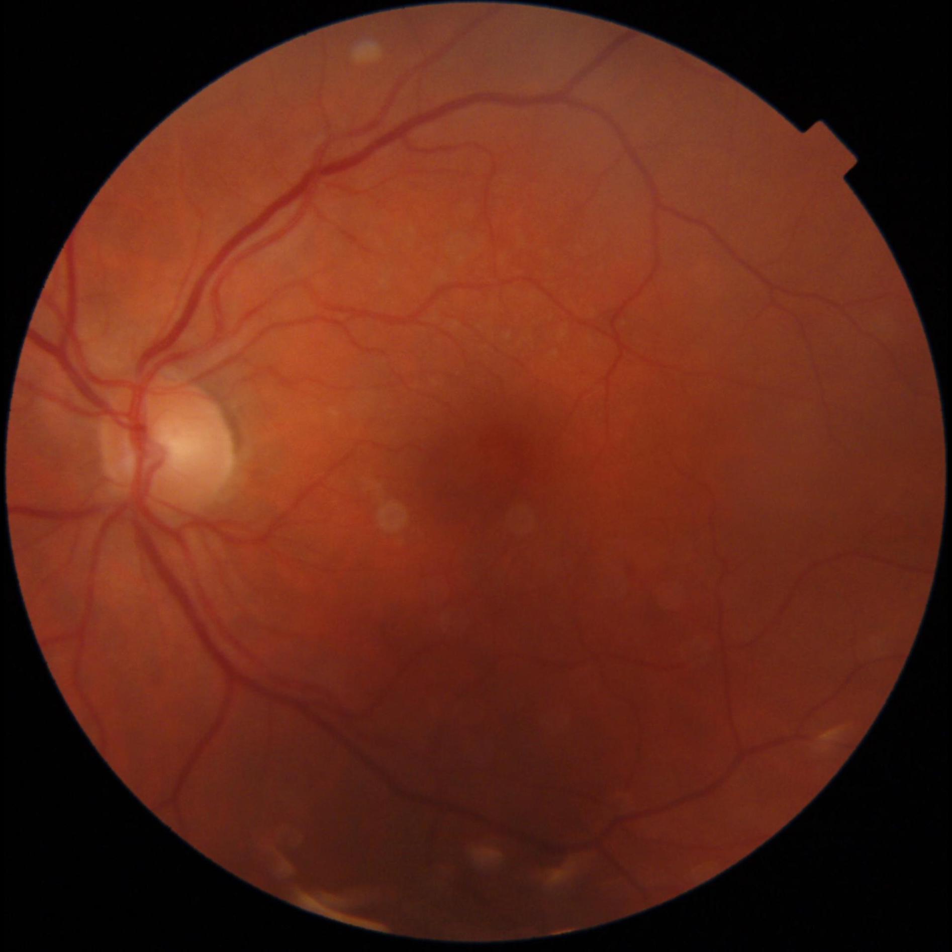
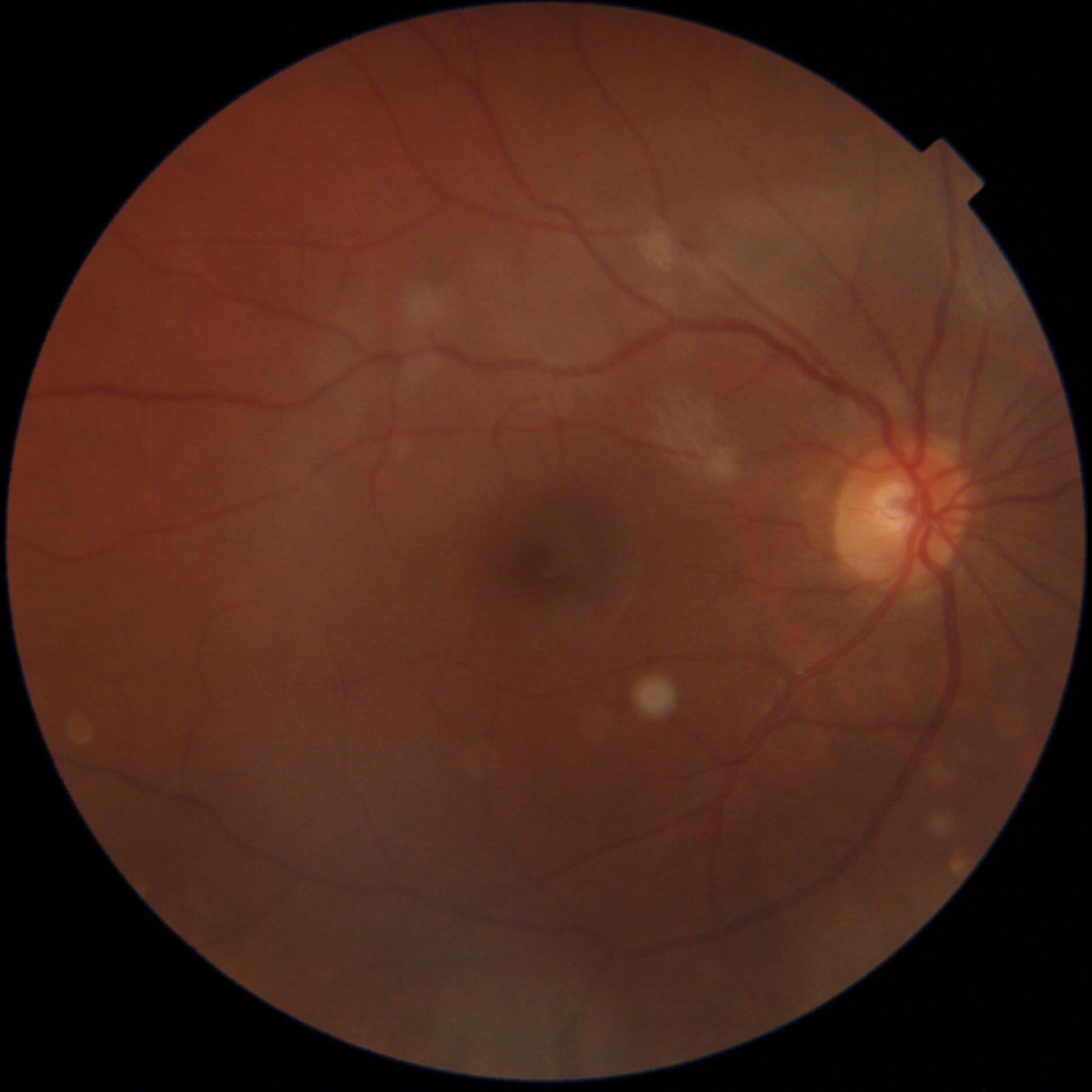
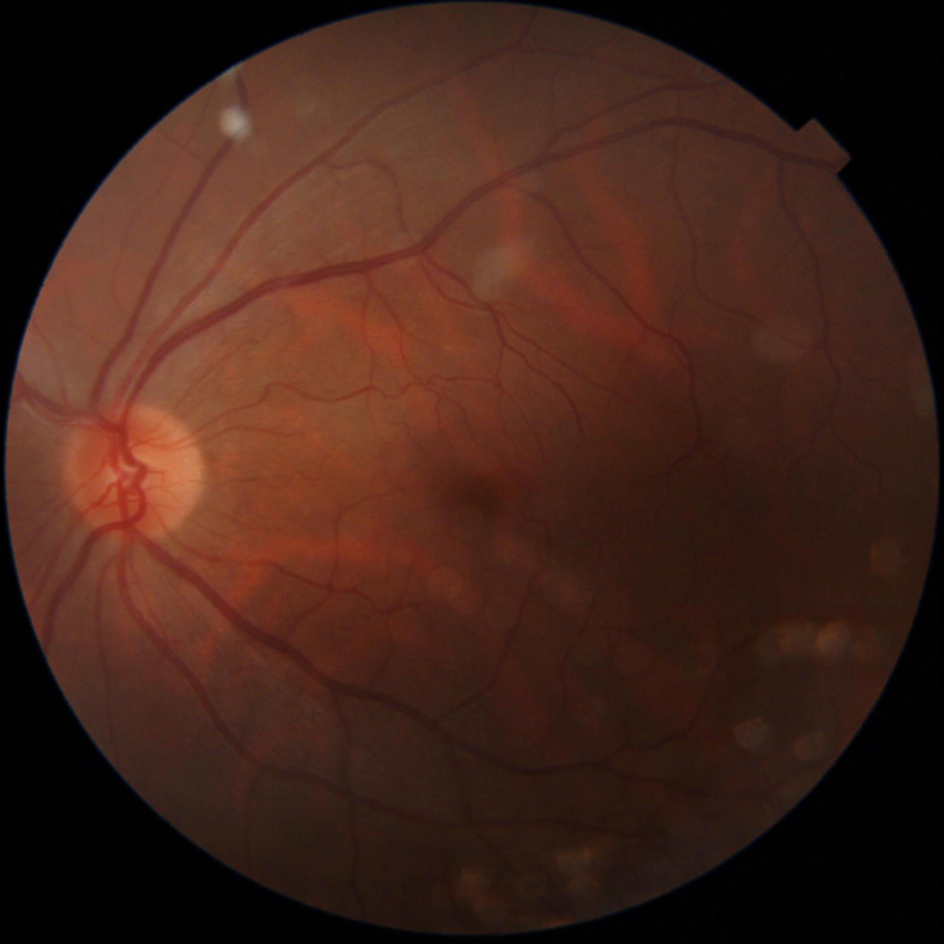
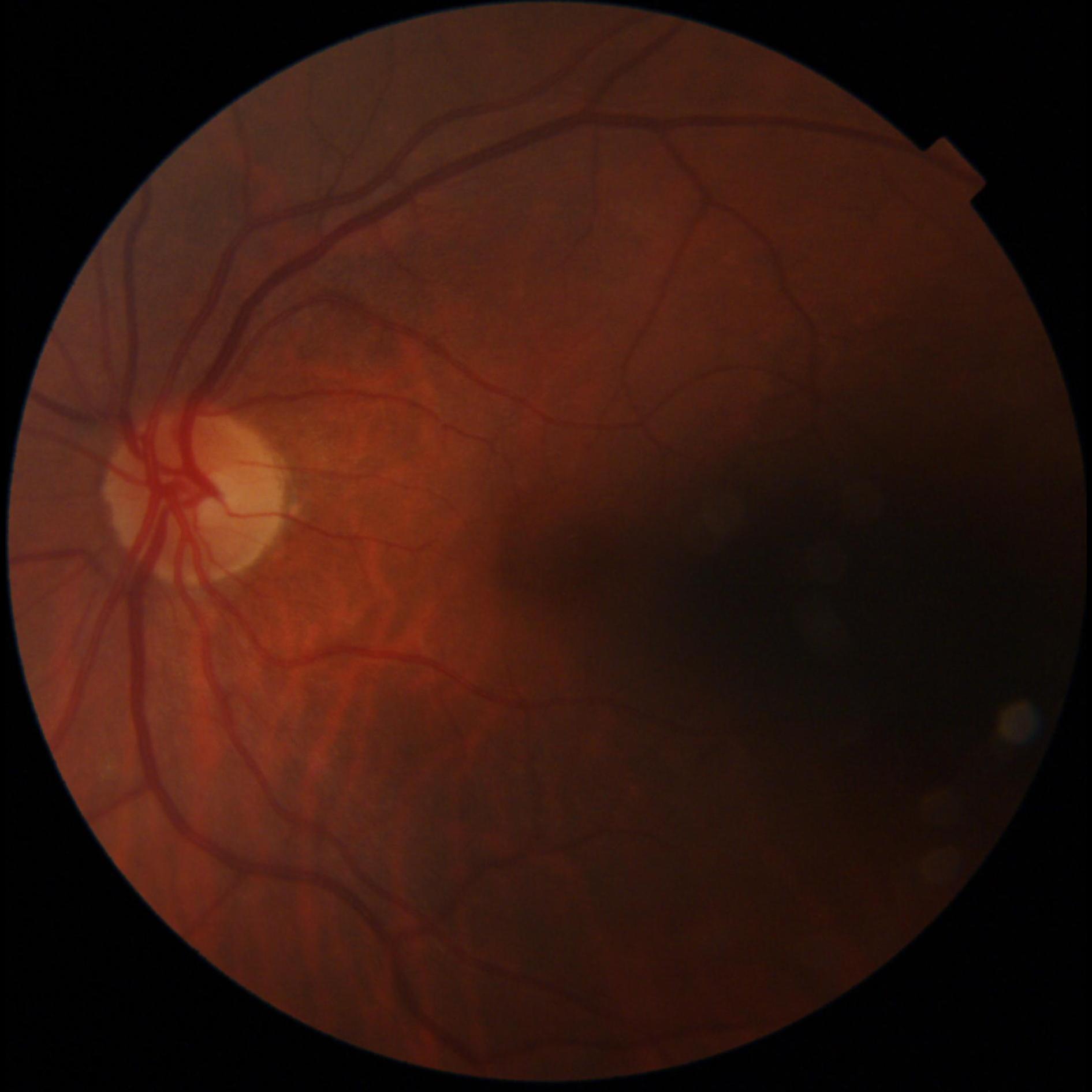
The dataset is structured to include both the DFIs and a labels file containing patient IDs, GON classifications, and image quality scores. All DFIs were taken using a TOPCON DRI OCT Triton retinal camera with a 45° FOV and underwent deidentification and standardization processing.
HYGD enables researchers to train and benchmark models on rigorously annotated data, potentially improving their reliability. This dataset serves as a valuable resource for developing generalizable models that can function across diverse patient populations and clinical settings, ultimately supporting earlier detection and treatment of GON.
Background
Glaucomatous optic neuropathy (GON) is a leading cause of irreversible blindness worldwide [1]. It is characterized by damage to the retinal ganglion cells, the retinal nerve fiber layer, and the optic nerve, leading to permanent vision loss and eventually to blindness [1]. Although GON is incurable, early detection and treatment can stop or at least slow its progression and reduce the risk of severe vision loss. In 2013, 64.3 million people worldwide between the ages of 40 and 80 years had GON, with the number of affected individuals expected to reach 111.8 million by 2040 [1, 2]. Approximately 50% of all cases of GON are undiagnosed, mainly because symptoms, such as vision loss, are first noticed when the disease is already at an advanced stage [3].
GON is diagnosed through a comprehensive ophthalmic examination that includes intra-ocular pressure (IOP) measurement, anterior chamber and angle assessment, optic disc (OD) inspection, visual field assessment, and optic nerve head imaging [1, 4]. Although effective, these procedures require the expertise of an ophthalmologist and access to specialized, often costly, equipment, which can be a limiting factor. Alternatively, computer-aided analysis of digital fundus images (DFI) can be used to identify GON. DFIs are captured using a fundus camera, which photographs the posterior segment of the eye and provides a clear view of the OD [5].
Recent studies have increasingly utilized deep learning (DL) models for automated GON detection using DFIs [6–8]. However, a major limitation in published research is that GON reference labels are often derived solely from DFI evaluations rather than comprehensive ophthalmic examinations [9–12]. This approach intrinsically reduces the GON detection task to a subjective evaluation of the OD, which has inherent limitations in identifying GON. Consequently, DL models trained exclusively on DFIs may inherit biases, be influenced by subjective interpretations, and inconsistent annotations, include examples that are not verified and potentially diverge from the true clinical manifestation of GON. Additionally, this method can be error prone, since other ophthalmic conditions may mimic the appearance of a GON cupped optic disc, such as ischemic optic neuropathy and compressive optic neuropathy [13].
The Hillel Yaffe Glaucoma Dataset (HYGD) was developed to address this issue, as part of the research study by Abramovich et al. [14]. Unlike most existing datasets, HYGD provides gold-standard GON annotations, where diagnoses are based on a full ophthalmic examination including OCT and VF, rather than subjective DFI-based evaluations. This dataset aims to enhance DL model reliability and reduce biases in automated GON detection.
Methods
This study was approved by the Helsinki Committee at the Hillel Yaffe Medical Center (Helsinki approval number: HYMC-0029-24). All identifiable patient information was removed to ensure patient privacy.
Study Cohort
The dataset was curated by the Hillel Yaffe Ophthalmology Department Glaucoma Unit, Hadera, Israel, between 2022-2024. DFIs were captured using a TOPCON DRI OCT Triton retinal camera with a 45° FOV. The dataset includes subjects aged 36 to 95 years, with 73% of the DFIs classified as glaucomatous. Patient selection followed specific inclusion and exclusion criteria to ensure data quality and clinical relevance.
Inclusion Criteria
- Patients aged 18 years and above
- Confirmed GON diagnosis based on comprehensive clinical examination, visual field tests, and optical coherence tomography (OCT)
- Absence of other ocular comorbidities
- Minimum follow-up period of 6 months with at least two follow-up examinations
Exclusion Criteria
- Patients under 18
- Presence of other ocular morbidities
Data preparation
All DFIs were deidentified, ensuring that any personal identifiers were removed. To maintain consistency, images were cropped to a square format by removing black borders. A quality score for each DFI was computed using FundusQ-Net [5] and is included in the dataset.
Labeling
HYGD employs gold-standard annotations, meaning that GON labels were assigned based on a full ophthalmic examination, rather than being inferred solely from DFIs.
Patients are diagnosed with GON based on a comprehensive ophthalmic examination, which includes visual acuity (VA) assessment, intraocular pressure (IOP) measurement, anterior and posterior segment evaluation, angle examination using gonioscopy, and posterior pole assessment using a 78-diopter lens while the pupil is dilated. Additionally, OCT is performed to assess the retinal nerve fiber layer (RNFL) and macula. Visual field tests, specifically the 24-2 and 10-2 tests, are conducted prior to diagnosis. Furthermore, all patients are followed up for at least a year to monitor the disease's progression and validate the labeling accuracy. All examinations were carried out by professional glaucoma specialists, while the images and visual field tests were handled by trained technicians.
Non-glaucomatous DFIs were taken from patients examined in the ophthalmology clinic for other causes and without a diagnosis of GON.
Data Description
The structure of the dataset is as follows:
- Images: A folder containing all 747 DFIs.
- Labels.csv: A labels file which includes GON annotations and quality scores.
Images
The dataset consists of 747 DFIs, including:
- 548 glaucomatous DFIs (73%)
- 199 non-glaucomatous DFIs (27%)
All DFIs are stored in JPG format with a 1:1 aspect ratio. The naming convention follows the format:
x_y.jpg, where:
- x represents the patient ID (starting from 1).
- y represents the image number per patient (starting from 0).
For example, "188_1.jpg" corresponds to the second image of patient 188.
Image Statistics
- Image resolution: 2576×1934 or 1960×1934 pixels
- Camera model: TOPCON DRI OCT Triton retinal camera
- Field of view (FOV): 45°
- Quality score range: 1-10 (scored using FundusQ-Net [5])
- Mean quality score: 5.9 ± 1.0
Patient Demographics
- Number of patients: 288
- Age range: 36-95 years
- Sex distribution: 50% male
- Nationality: Israeli
- GON prevalence: 186 GON+ patients (64.6%)
Labels
The labels file contains the following columns:
| Column Name | Description |
|---|---|
| Image Name | The filename of the DFI. |
| Patient | The patient ID. |
| Label | A binary classification: GON+ (glaucomatous) or GON- (non-glaucomatous). |
| Quality Score | A quality score ranging from 1 to 10, computed using FundusQ-Net [5]. |
Usage Notes
This dataset has been developed as part of the study "GONet: A Generalizable Deep Learning Model for Glaucoma Detection" [14]. It can serve as a benchmark dataset for evaluating existing GON diagnosis models or as a resource for training new deep learning models for automated GON detection.
Limitations
The dataset has several limitations:
- It does not include eye laterality (left or right eye) for each DFI.
- Patients' medical history beyond GON diagnosis is not provided.
- The dataset has limited demographic diversity, as it was collected using a single camera model with a fixed 45° FOV and includes data from a single geographic location.
Release Notes
Version 1.1.0: Updated the dataset metadata to reference the newly published GONet manuscript.
Version 1.0.0: Initial release.
Ethics
The authors declare no ethics concerns. This project was approved by the Helsinki Committee at the Hillel Yaffe medical center (Helsinki approval number HYMC-0029-24).
Acknowledgements
The authors acknowledge the support of the Technion EVPR Fund: Irving & Branna Sisenwein Research Fund. This research was also supported by a cloud computing grant from the Israel Council of Higher Education, awarded by the Israel Data Science Initiative.
Conflicts of Interest
The authors have no conflicts of interest to declare.
References
- Gupta P, Zhao D, Guallar E, Ko F, Boland MV, Friedman DS. Prevalence of Glaucoma in the United States: The 2005-2008 National Health and Nutrition Examination Survey. Invest Ophthalmol Vis Sci. 2016;57(6):2905–13.
- Tham YC, Li X, Wong TY, Quigley HA, Aung T, Cheng CY. Global prevalence of glaucoma and projections of glaucoma burden through 2040: A systematic review and meta-analysis. Ophthalmology. 2014;121(11):2081–90.
- Stevens GA, White RA, Flaxman SR, Price H, Jonas JB, Keeffe J, et al. Global prevalence of vision impairment and blindness: magnitude and temporal trends, 1990-2010. Ophthalmology. 2013;120(12):2377–84.
- Spaeth GL. European Glaucoma Society Terminology and Guidelines for Glaucoma, 5th Edition. Br J Ophthalmol. 2021 Jun 1;105(Suppl. 1):1–169.
- Abramovich O, Pizem H, Eijgen JV, Oren I, Melamed J, Stalmans I, et al. FundusQ-Net: A regression quality assessment deep learning algorithm for fundus images quality grading. Comput Methods Programs Biomed. 2023;239:Art. no. 107522.
- Thompson AC, Jammal AA, Medeiros FA. A Review of Deep Learning for Screening, Diagnosis, and Detection of Glaucoma Progression. Transl Vis Sci Technol. 2020;9(2):Art. no. 42.
- Zedan MJM, Zulkifley MA, Ibrahim AA, Moubark AM, Kamari NAM, Abdani SR. Automated Glaucoma Screening and Diagnosis Based on Retinal Fundus Images Using Deep Learning Approaches: A Comprehensive Review. Diagnostics (Basel). 2023;13(13):Art. no. 2180.
- Bali A, Mansotra V. Analysis of Deep Learning Techniques for Prediction of Eye Diseases: A Systematic Review. Arch Comput Methods Eng. 2024;31(1):487–520.
- Christopher M, Belghith A, Bowd C, Proudfoot JA, Goldbaum MH, Weinreb RN, et al. Performance of Deep Learning Architectures and Transfer Learning for Detecting Glaucomatous Optic Neuropathy in Fundus Photographs. Sci Rep. 2018;8(1):Art. no. 16685.
- Fu H, Cheng J, Xu Y, Zhang C, Wong DWK, Liu J, et al. Disc-Aware Ensemble Network for Glaucoma Screening from Fundus Image. IEEE Trans Med Imaging. 2018;37(11):2493–501.
- Li Z, He Y, Keel S, Meng W, Chang RT, He M. Efficacy of a Deep Learning System for Detecting Glaucomatous Optic Neuropathy Based on Color Fundus Photographs. Ophthalmology. 2018;125(8):1199–206.
- Liu H, Li L, Wormstone IM, Qiao C, Zhang C, Liu P, et al. Development and validation of a deep learning system to detect glaucomatous optic neuropathy using fundus photographs. JAMA Ophthalmol. 2019 Dec;137(12):1353–60.
- Stuart A. When It's Not Glaucoma. EyeNet. 2018 Nov:41-45.
- Abramovich O, Pizem H, Fhima J, Berkowitz E, Gofrit B, Meisel M, et al. GONet: A Generalizable Deep Learning Model for Glaucoma Detection. IEEE Trans Biomed Eng. 2026;73(1):32–9.
Access
Access Policy:
Anyone can access the files, as long as they conform to the terms of the specified license.
License (for files):
Open Data Commons Attribution License v1.0
Discovery
DOI (version 1.1.0):
https://doi.org/10.13026/m92s-0z95
DOI (latest version):
https://doi.org/10.13026/pdxv-m215
Topics:
ophthalmology
retina
glaucoma
dfi
gon
fundus
gold-standard
Project Views
120
Current Version500
All VersionsCorresponding Author
Files
Total uncompressed size: 125.8 MB.
Access the files
- Download the ZIP file (118.5 MB)
-
Download the files using your terminal:
wget -r -N -c -np https://physionet.org/files/hillel-yaffe-glaucoma-dataset/1.1.0/
-
Download the files using AWS command line tools:
aws s3 sync --no-sign-request s3://physionet-open/hillel-yaffe-glaucoma-dataset/1.1.0/ DESTINATION
| Name | Size | Modified |
|---|---|---|
| Parent Directory | ||
| 0_0.jpg (download) | 126.7 KB | 2025-03-04 |
| 100_0.jpg (download) | 137.7 KB | 2025-03-04 |
| 100_1.jpg (download) | 123.0 KB | 2025-03-04 |
| 100_2.jpg (download) | 117.7 KB | 2025-03-04 |
| 100_3.jpg (download) | 119.3 KB | 2025-03-04 |
| 100_4.jpg (download) | 116.6 KB | 2025-03-04 |
| 100_5.jpg (download) | 134.9 KB | 2025-03-04 |
| 100_6.jpg (download) | 127.5 KB | 2025-03-04 |
| 100_7.jpg (download) | 119.7 KB | 2025-03-04 |
| 100_8.jpg (download) | 121.8 KB | 2025-03-04 |
| 100_9.jpg (download) | 116.9 KB | 2025-03-04 |
| 101_0.jpg (download) | 111.7 KB | 2025-03-04 |
| 102_0.jpg (download) | 110.4 KB | 2025-03-04 |
| 102_1.jpg (download) | 99.0 KB | 2025-03-04 |
| 103_0.jpg (download) | 116.5 KB | 2025-03-04 |
| 103_1.jpg (download) | 112.5 KB | 2025-03-04 |
| 104_0.jpg (download) | 104.9 KB | 2025-03-04 |
| 104_1.jpg (download) | 121.7 KB | 2025-03-04 |
| 104_2.jpg (download) | 127.9 KB | 2025-03-04 |
| 104_3.jpg (download) | 124.7 KB | 2025-03-04 |
| 104_4.jpg (download) | 132.8 KB | 2025-03-04 |
| 104_5.jpg (download) | 118.5 KB | 2025-03-04 |
| 104_6.jpg (download) | 115.1 KB | 2025-03-04 |
| 105_0.jpg (download) | 137.4 KB | 2025-03-04 |
| 105_1.jpg (download) | 125.2 KB | 2025-03-04 |
| 106_0.jpg (download) | 101.6 KB | 2025-03-04 |
| 107_0.jpg (download) | 123.3 KB | 2025-03-04 |
| 107_1.jpg (download) | 129.3 KB | 2025-03-04 |
| 107_2.jpg (download) | 130.8 KB | 2025-03-04 |
| 108_0.jpg (download) | 116.4 KB | 2025-03-04 |
| 108_1.jpg (download) | 132.5 KB | 2025-03-04 |
| 108_2.jpg (download) | 125.8 KB | 2025-03-04 |
| 108_3.jpg (download) | 123.0 KB | 2025-03-04 |
| 108_4.jpg (download) | 117.2 KB | 2025-03-04 |
| 109_0.jpg (download) | 114.7 KB | 2025-03-04 |
| 109_1.jpg (download) | 121.3 KB | 2025-03-04 |
| 109_2.jpg (download) | 123.0 KB | 2025-03-04 |
| 109_3.jpg (download) | 114.2 KB | 2025-03-04 |
| 109_4.jpg (download) | 99.7 KB | 2025-03-04 |
| 10_0.jpg (download) | 121.4 KB | 2025-03-04 |
| 10_1.jpg (download) | 115.1 KB | 2025-03-04 |
| 10_2.jpg (download) | 107.3 KB | 2025-03-04 |
| 110_0.jpg (download) | 111.2 KB | 2025-03-04 |
| 110_1.jpg (download) | 113.2 KB | 2025-03-04 |
| 110_2.jpg (download) | 108.6 KB | 2025-03-04 |
| 111_0.jpg (download) | 124.1 KB | 2025-03-04 |
| 112_0.jpg (download) | 97.2 KB | 2025-03-04 |
| 112_1.jpg (download) | 122.9 KB | 2025-03-04 |
| 112_2.jpg (download) | 111.8 KB | 2025-03-04 |
| 113_0.jpg (download) | 117.4 KB | 2025-03-04 |
| 114_0.jpg (download) | 126.0 KB | 2025-03-04 |
| 114_1.jpg (download) | 121.5 KB | 2025-03-04 |
| 114_2.jpg (download) | 126.2 KB | 2025-03-04 |
| 115_0.jpg (download) | 107.6 KB | 2025-03-04 |
| 115_1.jpg (download) | 113.8 KB | 2025-03-04 |
| 116_0.jpg (download) | 130.1 KB | 2025-03-04 |
| 116_1.jpg (download) | 133.3 KB | 2025-03-04 |
| 117_0.jpg (download) | 114.7 KB | 2025-03-04 |
| 118_0.jpg (download) | 110.2 KB | 2025-03-04 |
| 118_1.jpg (download) | 108.4 KB | 2025-03-04 |
| 119_0.jpg (download) | 130.3 KB | 2025-03-04 |
| 119_1.jpg (download) | 131.3 KB | 2025-03-04 |
| 11_0.jpg (download) | 113.8 KB | 2025-03-04 |
| 120_0.jpg (download) | 120.5 KB | 2025-03-04 |
| 120_1.jpg (download) | 125.3 KB | 2025-03-04 |
| 121_0.jpg (download) | 117.8 KB | 2025-03-04 |
| 121_1.jpg (download) | 125.9 KB | 2025-03-04 |
| 121_2.jpg (download) | 118.4 KB | 2025-03-04 |
| 122_0.jpg (download) | 124.3 KB | 2025-03-04 |
| 122_1.jpg (download) | 121.6 KB | 2025-03-04 |
| 123_0.jpg (download) | 123.7 KB | 2025-03-04 |
| 123_1.jpg (download) | 130.9 KB | 2025-03-04 |
| 123_2.jpg (download) | 127.8 KB | 2025-03-04 |
| 124_0.jpg (download) | 112.7 KB | 2025-03-04 |
| 125_0.jpg (download) | 113.9 KB | 2025-03-04 |
| 126_0.jpg (download) | 127.8 KB | 2025-03-04 |
| 126_1.jpg (download) | 122.5 KB | 2025-03-04 |
| 127_0.jpg (download) | 113.0 KB | 2025-03-04 |
| 128_0.jpg (download) | 123.6 KB | 2025-03-04 |
| 129_0.jpg (download) | 124.2 KB | 2025-03-04 |
| 129_1.jpg (download) | 116.0 KB | 2025-03-04 |
| 129_2.jpg (download) | 116.6 KB | 2025-03-04 |
| 12_0.jpg (download) | 127.2 KB | 2025-03-04 |
| 12_1.jpg (download) | 132.3 KB | 2025-03-04 |
| 12_2.jpg (download) | 124.0 KB | 2025-03-04 |
| 12_3.jpg (download) | 133.9 KB | 2025-03-04 |
| 12_4.jpg (download) | 138.9 KB | 2025-03-04 |
| 130_0.jpg (download) | 119.4 KB | 2025-03-04 |
| 131_0.jpg (download) | 147.3 KB | 2025-03-04 |
| 132_0.jpg (download) | 134.8 KB | 2025-03-04 |
| 132_1.jpg (download) | 129.5 KB | 2025-03-04 |
| 133_0.jpg (download) | 124.2 KB | 2025-03-04 |
| 134_0.jpg (download) | 113.3 KB | 2025-03-04 |
| 134_1.jpg (download) | 119.0 KB | 2025-03-04 |
| 135_0.jpg (download) | 120.6 KB | 2025-03-04 |
| 135_1.jpg (download) | 119.0 KB | 2025-03-04 |
| 135_2.jpg (download) | 114.0 KB | 2025-03-04 |
| 135_3.jpg (download) | 126.0 KB | 2025-03-04 |
| 135_4.jpg (download) | 111.4 KB | 2025-03-04 |
| 136_0.jpg (download) | 166.6 KB | 2025-03-04 |
| 136_1.jpg (download) | 152.6 KB | 2025-03-04 |
| 137_0.jpg (download) | 114.8 KB | 2025-03-04 |
| 138_0.jpg (download) | 124.2 KB | 2025-03-04 |
| 138_1.jpg (download) | 125.9 KB | 2025-03-04 |
| 138_2.jpg (download) | 122.2 KB | 2025-03-04 |
| 139_0.jpg (download) | 111.7 KB | 2025-03-04 |
| 139_1.jpg (download) | 109.7 KB | 2025-03-04 |
| 139_2.jpg (download) | 117.0 KB | 2025-03-04 |
| 13_0.jpg (download) | 141.1 KB | 2025-03-04 |
| 13_1.jpg (download) | 119.8 KB | 2025-03-04 |
| 140_0.jpg (download) | 107.8 KB | 2025-03-04 |
| 140_1.jpg (download) | 108.7 KB | 2025-03-04 |
| 140_2.jpg (download) | 117.6 KB | 2025-03-04 |
| 141_0.jpg (download) | 89.8 KB | 2025-03-04 |
| 141_1.jpg (download) | 106.3 KB | 2025-03-04 |
| 141_2.jpg (download) | 93.3 KB | 2025-03-04 |
| 141_3.jpg (download) | 96.3 KB | 2025-03-04 |
| 141_4.jpg (download) | 118.1 KB | 2025-03-04 |
| 141_5.jpg (download) | 110.8 KB | 2025-03-04 |
| 141_6.jpg (download) | 131.1 KB | 2025-03-04 |
| 142_0.jpg (download) | 108.8 KB | 2025-03-04 |
| 143_0.jpg (download) | 113.1 KB | 2025-03-04 |
| 143_1.jpg (download) | 110.3 KB | 2025-03-04 |
| 143_2.jpg (download) | 109.3 KB | 2025-03-04 |
| 143_3.jpg (download) | 121.7 KB | 2025-03-04 |
| 143_4.jpg (download) | 114.7 KB | 2025-03-04 |
| 144_0.jpg (download) | 125.3 KB | 2025-03-04 |
| 144_1.jpg (download) | 133.0 KB | 2025-03-04 |
| 144_2.jpg (download) | 143.7 KB | 2025-03-04 |
| 144_3.jpg (download) | 130.5 KB | 2025-03-04 |
| 145_0.jpg (download) | 117.5 KB | 2025-03-04 |
| 145_1.jpg (download) | 121.1 KB | 2025-03-04 |
| 145_2.jpg (download) | 113.6 KB | 2025-03-04 |
| 146_0.jpg (download) | 119.2 KB | 2025-03-04 |
| 147_0.jpg (download) | 137.6 KB | 2025-03-04 |
| 147_1.jpg (download) | 145.6 KB | 2025-03-04 |
| 148_0.jpg (download) | 110.2 KB | 2025-03-04 |
| 148_1.jpg (download) | 110.2 KB | 2025-03-04 |
| 148_2.jpg (download) | 124.1 KB | 2025-03-04 |
| 148_3.jpg (download) | 117.5 KB | 2025-03-04 |
| 149_0.jpg (download) | 122.4 KB | 2025-03-04 |
| 14_0.jpg (download) | 106.2 KB | 2025-03-04 |
| 14_1.jpg (download) | 87.3 KB | 2025-03-04 |
| 150_0.jpg (download) | 119.7 KB | 2025-03-04 |
| 150_1.jpg (download) | 118.0 KB | 2025-03-04 |
| 150_10.jpg (download) | 117.2 KB | 2025-03-04 |
| 150_11.jpg (download) | 126.0 KB | 2025-03-04 |
| 150_12.jpg (download) | 127.6 KB | 2025-03-04 |
| 150_13.jpg (download) | 120.2 KB | 2025-03-04 |
| 150_2.jpg (download) | 112.2 KB | 2025-03-04 |
| 150_3.jpg (download) | 113.6 KB | 2025-03-04 |
| 150_4.jpg (download) | 117.6 KB | 2025-03-04 |
| 150_5.jpg (download) | 122.8 KB | 2025-03-04 |
| 150_6.jpg (download) | 122.9 KB | 2025-03-04 |
| 150_7.jpg (download) | 109.5 KB | 2025-03-04 |
| 150_8.jpg (download) | 114.1 KB | 2025-03-04 |
| 150_9.jpg (download) | 117.4 KB | 2025-03-04 |
| 151_0.jpg (download) | 116.9 KB | 2025-03-04 |
| 151_1.jpg (download) | 105.6 KB | 2025-03-04 |
| 151_2.jpg (download) | 109.6 KB | 2025-03-04 |
| 151_3.jpg (download) | 105.5 KB | 2025-03-04 |
| 151_4.jpg (download) | 114.4 KB | 2025-03-04 |
| 152_0.jpg (download) | 121.2 KB | 2025-03-04 |
| 153_0.jpg (download) | 111.5 KB | 2025-03-04 |
| 153_1.jpg (download) | 122.3 KB | 2025-03-04 |
| 153_2.jpg (download) | 120.2 KB | 2025-03-04 |
| 153_3.jpg (download) | 131.5 KB | 2025-03-04 |
| 154_0.jpg (download) | 128.2 KB | 2025-03-04 |
| 154_1.jpg (download) | 142.1 KB | 2025-03-04 |
| 154_2.jpg (download) | 117.5 KB | 2025-03-04 |
| 154_3.jpg (download) | 145.7 KB | 2025-03-04 |
| 154_4.jpg (download) | 126.0 KB | 2025-03-04 |
| 154_5.jpg (download) | 141.1 KB | 2025-03-04 |
| 155_0.jpg (download) | 102.4 KB | 2025-03-04 |
| 155_1.jpg (download) | 116.4 KB | 2025-03-04 |
| 155_2.jpg (download) | 119.2 KB | 2025-03-04 |
| 155_3.jpg (download) | 110.7 KB | 2025-03-04 |
| 156_0.jpg (download) | 123.1 KB | 2025-03-04 |
| 157_0.jpg (download) | 111.2 KB | 2025-03-04 |
| 157_1.jpg (download) | 121.5 KB | 2025-03-04 |
| 157_2.jpg (download) | 105.3 KB | 2025-03-04 |
| 157_3.jpg (download) | 137.7 KB | 2025-03-04 |
| 158_0.jpg (download) | 137.0 KB | 2025-03-04 |
| 158_1.jpg (download) | 141.7 KB | 2025-03-04 |
| 159_0.jpg (download) | 114.3 KB | 2025-03-04 |
| 159_1.jpg (download) | 124.0 KB | 2025-03-04 |
| 15_0.jpg (download) | 110.4 KB | 2025-03-04 |
| 160_0.jpg (download) | 118.9 KB | 2025-03-04 |
| 160_1.jpg (download) | 117.1 KB | 2025-03-04 |
| 161_0.jpg (download) | 124.9 KB | 2025-03-04 |
| 162_0.jpg (download) | 118.7 KB | 2025-03-04 |
| 162_1.jpg (download) | 140.2 KB | 2025-03-04 |
| 163_0.jpg (download) | 131.8 KB | 2025-03-04 |
| 163_1.jpg (download) | 126.4 KB | 2025-03-04 |
| 163_2.jpg (download) | 120.1 KB | 2025-03-04 |
| 163_3.jpg (download) | 121.9 KB | 2025-03-04 |
| 163_4.jpg (download) | 118.9 KB | 2025-03-04 |
| 164_0.jpg (download) | 131.0 KB | 2025-03-04 |
| 164_1.jpg (download) | 132.7 KB | 2025-03-04 |
| 164_2.jpg (download) | 122.6 KB | 2025-03-04 |
| 164_3.jpg (download) | 146.8 KB | 2025-03-04 |
| 165_0.jpg (download) | 127.8 KB | 2025-03-04 |
| 165_1.jpg (download) | 139.6 KB | 2025-03-04 |
| 165_2.jpg (download) | 136.3 KB | 2025-03-04 |
| 166_0.jpg (download) | 121.0 KB | 2025-03-04 |
| 166_1.jpg (download) | 118.0 KB | 2025-03-04 |
| 166_2.jpg (download) | 122.3 KB | 2025-03-04 |
| 167_0.jpg (download) | 129.2 KB | 2025-03-04 |
| 167_1.jpg (download) | 144.9 KB | 2025-03-04 |
| 168_0.jpg (download) | 123.9 KB | 2025-03-04 |
| 168_1.jpg (download) | 124.3 KB | 2025-03-04 |
| 168_2.jpg (download) | 124.8 KB | 2025-03-04 |
| 169_0.jpg (download) | 146.8 KB | 2025-03-04 |
| 169_1.jpg (download) | 151.9 KB | 2025-03-04 |
| 169_2.jpg (download) | 142.7 KB | 2025-03-04 |
| 169_3.jpg (download) | 146.5 KB | 2025-03-04 |
| 16_0.jpg (download) | 134.4 KB | 2025-03-04 |
| 16_1.jpg (download) | 111.6 KB | 2025-03-04 |
| 16_2.jpg (download) | 136.5 KB | 2025-03-04 |
| 16_3.jpg (download) | 121.3 KB | 2025-03-04 |
| 16_4.jpg (download) | 126.7 KB | 2025-03-04 |
| 170_0.jpg (download) | 132.6 KB | 2025-03-04 |
| 170_1.jpg (download) | 122.9 KB | 2025-03-04 |
| 170_2.jpg (download) | 123.1 KB | 2025-03-04 |
| 170_3.jpg (download) | 120.4 KB | 2025-03-04 |
| 170_4.jpg (download) | 114.4 KB | 2025-03-04 |
| 170_5.jpg (download) | 116.5 KB | 2025-03-04 |
| 171_0.jpg (download) | 117.3 KB | 2025-03-04 |
| 172_0.jpg (download) | 131.6 KB | 2025-03-04 |
| 172_1.jpg (download) | 134.5 KB | 2025-03-04 |
| 172_2.jpg (download) | 114.4 KB | 2025-03-04 |
| 172_3.jpg (download) | 118.1 KB | 2025-03-04 |
| 173_0.jpg (download) | 153.3 KB | 2025-03-04 |
| 174_0.jpg (download) | 110.3 KB | 2025-03-04 |
| 175_0.jpg (download) | 129.8 KB | 2025-03-04 |
| 175_1.jpg (download) | 127.3 KB | 2025-03-04 |
| 176_0.jpg (download) | 122.0 KB | 2025-03-04 |
| 176_1.jpg (download) | 106.3 KB | 2025-03-04 |
| 176_2.jpg (download) | 109.2 KB | 2025-03-04 |
| 177_0.jpg (download) | 123.9 KB | 2025-03-04 |
| 177_1.jpg (download) | 129.0 KB | 2025-03-04 |
| 177_2.jpg (download) | 129.8 KB | 2025-03-04 |
| 178_0.jpg (download) | 143.3 KB | 2025-03-04 |
| 179_0.jpg (download) | 110.5 KB | 2025-03-04 |
| 179_1.jpg (download) | 120.0 KB | 2025-03-04 |
| 179_2.jpg (download) | 132.2 KB | 2025-03-04 |
| 17_0.jpg (download) | 112.4 KB | 2025-03-04 |
| 17_1.jpg (download) | 130.3 KB | 2025-03-04 |
| 17_2.jpg (download) | 130.0 KB | 2025-03-04 |
| 17_3.jpg (download) | 142.7 KB | 2025-03-04 |
| 17_4.jpg (download) | 125.1 KB | 2025-03-04 |
| 17_5.jpg (download) | 144.2 KB | 2025-03-04 |
| 180_0.jpg (download) | 141.6 KB | 2025-03-04 |
| 180_1.jpg (download) | 127.8 KB | 2025-03-04 |
| 180_2.jpg (download) | 166.1 KB | 2025-03-04 |
| 180_3.jpg (download) | 127.2 KB | 2025-03-04 |
| 180_4.jpg (download) | 141.4 KB | 2025-03-04 |
| 180_5.jpg (download) | 131.6 KB | 2025-03-04 |
| 181_0.jpg (download) | 157.6 KB | 2025-03-04 |
| 181_1.jpg (download) | 155.5 KB | 2025-03-04 |
| 183_0.jpg (download) | 130.8 KB | 2025-03-04 |
| 183_1.jpg (download) | 144.7 KB | 2025-03-04 |
| 183_2.jpg (download) | 119.3 KB | 2025-03-04 |
| 183_3.jpg (download) | 129.3 KB | 2025-03-04 |
| 183_4.jpg (download) | 125.9 KB | 2025-03-04 |
| 183_5.jpg (download) | 125.4 KB | 2025-03-04 |
| 183_6.jpg (download) | 123.0 KB | 2025-03-04 |
| 183_7.jpg (download) | 127.0 KB | 2025-03-04 |
| 184_0.jpg (download) | 126.0 KB | 2025-03-04 |
| 184_1.jpg (download) | 117.5 KB | 2025-03-04 |
| 185_0.jpg (download) | 118.6 KB | 2025-03-04 |
| 185_1.jpg (download) | 125.9 KB | 2025-03-04 |
| 185_2.jpg (download) | 120.3 KB | 2025-03-04 |
| 186_0.jpg (download) | 115.5 KB | 2025-03-04 |
| 186_1.jpg (download) | 123.6 KB | 2025-03-04 |
| 186_2.jpg (download) | 123.2 KB | 2025-03-04 |
| 187_0.jpg (download) | 127.6 KB | 2025-03-04 |
| 188_0.jpg (download) | 123.3 KB | 2025-03-04 |
| 188_1.jpg (download) | 119.6 KB | 2025-03-04 |
| 189_0.jpg (download) | 120.3 KB | 2025-03-04 |
| 189_1.jpg (download) | 115.5 KB | 2025-03-04 |
| 189_2.jpg (download) | 116.0 KB | 2025-03-04 |
| 18_0.jpg (download) | 131.6 KB | 2025-03-04 |
| 18_1.jpg (download) | 132.6 KB | 2025-03-04 |
| 18_2.jpg (download) | 144.2 KB | 2025-03-04 |
| 18_3.jpg (download) | 122.2 KB | 2025-03-04 |
| 18_4.jpg (download) | 129.7 KB | 2025-03-04 |
| 190_0.jpg (download) | 160.2 KB | 2025-03-04 |
| 191_0.jpg (download) | 119.0 KB | 2025-03-04 |
| 191_1.jpg (download) | 127.2 KB | 2025-03-04 |
| 192_0.jpg (download) | 117.5 KB | 2025-03-04 |
| 192_1.jpg (download) | 141.2 KB | 2025-03-04 |
| 193_0.jpg (download) | 128.5 KB | 2025-03-04 |
| 193_1.jpg (download) | 136.4 KB | 2025-03-04 |
| 194_0.jpg (download) | 143.6 KB | 2025-03-04 |
| 194_1.jpg (download) | 152.9 KB | 2025-03-04 |
| 195_0.jpg (download) | 125.1 KB | 2025-03-04 |
| 195_1.jpg (download) | 124.2 KB | 2025-03-04 |
| 195_2.jpg (download) | 131.4 KB | 2025-03-04 |
| 196_0.jpg (download) | 116.7 KB | 2025-03-04 |
| 197_0.jpg (download) | 127.6 KB | 2025-03-04 |
| 198_0.jpg (download) | 126.4 KB | 2025-03-04 |
| 199_0.jpg (download) | 124.0 KB | 2025-03-04 |
| 199_1.jpg (download) | 119.0 KB | 2025-03-04 |
| 19_0.jpg (download) | 121.5 KB | 2025-03-04 |
| 1_0.jpg (download) | 115.0 KB | 2025-03-04 |
| 1_1.jpg (download) | 123.8 KB | 2025-03-04 |
| 200_0.jpg (download) | 122.0 KB | 2025-03-04 |
| 200_1.jpg (download) | 108.8 KB | 2025-03-04 |
| 200_2.jpg (download) | 121.3 KB | 2025-03-04 |
| 200_3.jpg (download) | 153.6 KB | 2025-03-04 |
| 201_0.jpg (download) | 114.9 KB | 2025-03-04 |
| 201_1.jpg (download) | 120.3 KB | 2025-03-04 |
| 202_0.jpg (download) | 116.7 KB | 2025-03-04 |
| 202_1.jpg (download) | 118.1 KB | 2025-03-04 |
| 203_0.jpg (download) | 138.9 KB | 2025-03-04 |
| 203_1.jpg (download) | 151.0 KB | 2025-03-04 |
| 204_0.jpg (download) | 145.1 KB | 2025-03-04 |
| 204_1.jpg (download) | 127.7 KB | 2025-03-04 |
| 205_0.jpg (download) | 154.3 KB | 2025-03-04 |
| 205_1.jpg (download) | 140.5 KB | 2025-03-04 |
| 206_0.jpg (download) | 108.5 KB | 2025-03-04 |
| 207_0.jpg (download) | 119.5 KB | 2025-03-04 |
| 207_1.jpg (download) | 138.6 KB | 2025-03-04 |
| 207_2.jpg (download) | 124.0 KB | 2025-03-04 |
| 208_0.jpg (download) | 133.5 KB | 2025-03-04 |
| 208_1.jpg (download) | 98.8 KB | 2025-03-04 |
| 209_0.jpg (download) | 130.5 KB | 2025-03-04 |
| 20_0.jpg (download) | 130.4 KB | 2025-03-04 |
| 20_1.jpg (download) | 123.9 KB | 2025-03-04 |
| 210_0.jpg (download) | 154.9 KB | 2025-03-04 |
| 211_0.jpg (download) | 128.5 KB | 2025-03-04 |
| 211_1.jpg (download) | 113.6 KB | 2025-03-04 |
| 211_2.jpg (download) | 139.3 KB | 2025-03-04 |
| 212_0.jpg (download) | 127.1 KB | 2025-03-04 |
| 213_0.jpg (download) | 125.2 KB | 2025-03-04 |
| 214_0.jpg (download) | 128.8 KB | 2025-03-04 |
| 214_1.jpg (download) | 124.1 KB | 2025-03-04 |
| 214_2.jpg (download) | 122.9 KB | 2025-03-04 |
| 214_3.jpg (download) | 123.1 KB | 2025-03-04 |
| 215_0.jpg (download) | 117.5 KB | 2025-03-04 |
| 215_1.jpg (download) | 122.2 KB | 2025-03-04 |
| 215_2.jpg (download) | 117.0 KB | 2025-03-04 |
| 215_3.jpg (download) | 124.7 KB | 2025-03-04 |
| 216_0.jpg (download) | 118.4 KB | 2025-03-04 |
| 217_0.jpg (download) | 127.9 KB | 2025-03-04 |
| 218_0.jpg (download) | 111.5 KB | 2025-03-04 |
| 219_0.jpg (download) | 143.5 KB | 2025-03-04 |
| 219_1.jpg (download) | 122.6 KB | 2025-03-04 |
| 219_2.jpg (download) | 139.1 KB | 2025-03-04 |
| 21_0.jpg (download) | 116.5 KB | 2025-03-04 |
| 21_1.jpg (download) | 126.0 KB | 2025-03-04 |
| 220_0.jpg (download) | 132.9 KB | 2025-03-04 |
| 220_1.jpg (download) | 120.1 KB | 2025-03-04 |
| 221_0.jpg (download) | 122.7 KB | 2025-03-04 |
| 222_0.jpg (download) | 117.6 KB | 2025-03-04 |
| 222_1.jpg (download) | 111.6 KB | 2025-03-04 |
| 223_0.jpg (download) | 124.2 KB | 2025-03-04 |
| 223_1.jpg (download) | 123.7 KB | 2025-03-04 |
| 223_2.jpg (download) | 114.3 KB | 2025-03-04 |
| 224_0.jpg (download) | 129.9 KB | 2025-03-04 |
| 224_1.jpg (download) | 149.3 KB | 2025-03-04 |
| 224_2.jpg (download) | 124.2 KB | 2025-03-04 |
| 224_3.jpg (download) | 127.4 KB | 2025-03-04 |
| 225_0.jpg (download) | 131.1 KB | 2025-03-04 |
| 225_1.jpg (download) | 135.4 KB | 2025-03-04 |
| 226_0.jpg (download) | 127.2 KB | 2025-03-04 |
| 226_1.jpg (download) | 127.4 KB | 2025-03-04 |
| 227_0.jpg (download) | 156.3 KB | 2025-03-04 |
| 227_1.jpg (download) | 122.3 KB | 2025-03-04 |
| 227_2.jpg (download) | 136.0 KB | 2025-03-04 |
| 227_3.jpg (download) | 145.8 KB | 2025-03-04 |
| 227_4.jpg (download) | 136.0 KB | 2025-03-04 |
| 228_0.jpg (download) | 120.9 KB | 2025-03-04 |
| 229_0.jpg (download) | 116.0 KB | 2025-03-04 |
| 229_1.jpg (download) | 116.8 KB | 2025-03-04 |
| 22_0.jpg (download) | 150.2 KB | 2025-03-04 |
| 22_1.jpg (download) | 152.8 KB | 2025-03-04 |
| 230_0.jpg (download) | 128.4 KB | 2025-03-04 |
| 230_1.jpg (download) | 123.8 KB | 2025-03-04 |
| 231_0.jpg (download) | 123.9 KB | 2025-03-04 |
| 231_1.jpg (download) | 124.5 KB | 2025-03-04 |
| 232_0.jpg (download) | 118.0 KB | 2025-03-04 |
| 233_0.jpg (download) | 125.3 KB | 2025-03-04 |
| 234_0.jpg (download) | 119.5 KB | 2025-03-04 |
| 234_1.jpg (download) | 123.7 KB | 2025-03-04 |
| 235_0.jpg (download) | 128.4 KB | 2025-03-04 |
| 236_0.jpg (download) | 120.6 KB | 2025-03-04 |
| 237_0.jpg (download) | 121.9 KB | 2025-03-04 |
| 237_1.jpg (download) | 135.2 KB | 2025-03-04 |
| 238_0.jpg (download) | 125.7 KB | 2025-03-04 |
| 238_1.jpg (download) | 134.6 KB | 2025-03-04 |
| 239_0.jpg (download) | 118.3 KB | 2025-03-04 |
| 239_1.jpg (download) | 133.3 KB | 2025-03-04 |
| 23_0.jpg (download) | 145.9 KB | 2025-03-04 |
| 23_1.jpg (download) | 142.0 KB | 2025-03-04 |
| 240_0.jpg (download) | 3.2 MB | 2025-03-04 |
| 240_1.jpg (download) | 3.3 MB | 2025-03-04 |
| 240_2.jpg (download) | 3.3 MB | 2025-03-04 |
| 241_0.jpg (download) | 119.4 KB | 2025-03-04 |
| 241_1.jpg (download) | 120.9 KB | 2025-03-04 |
| 241_2.jpg (download) | 124.1 KB | 2025-03-04 |
| 242_0.jpg (download) | 118.1 KB | 2025-03-04 |
| 243_0.jpg (download) | 119.0 KB | 2025-03-04 |
| 243_1.jpg (download) | 133.1 KB | 2025-03-04 |
| 244_0.jpg (download) | 115.9 KB | 2025-03-04 |
| 244_1.jpg (download) | 114.6 KB | 2025-03-04 |
| 245_0.jpg (download) | 135.0 KB | 2025-03-04 |
| 245_1.jpg (download) | 110.3 KB | 2025-03-04 |
| 245_2.jpg (download) | 115.8 KB | 2025-03-04 |
| 246_0.jpg (download) | 109.5 KB | 2025-03-04 |
| 247_0.jpg (download) | 3.2 MB | 2025-03-04 |
| 247_1.jpg (download) | 125.9 KB | 2025-03-04 |
| 248_0.jpg (download) | 139.8 KB | 2025-03-04 |
| 249_0.jpg (download) | 139.6 KB | 2025-03-04 |
| 249_1.jpg (download) | 135.7 KB | 2025-03-04 |
| 249_2.jpg (download) | 144.8 KB | 2025-03-04 |
| 249_3.jpg (download) | 139.2 KB | 2025-03-04 |
| 24_0.jpg (download) | 132.5 KB | 2025-03-04 |
| 250_0.jpg (download) | 148.6 KB | 2025-03-04 |
| 250_1.jpg (download) | 134.3 KB | 2025-03-04 |
| 251_0.jpg (download) | 127.6 KB | 2025-03-04 |
| 252_0.jpg (download) | 111.3 KB | 2025-03-04 |
| 252_1.jpg (download) | 110.4 KB | 2025-03-04 |
| 253_0.jpg (download) | 120.0 KB | 2025-03-04 |
| 253_1.jpg (download) | 126.6 KB | 2025-03-04 |
| 253_2.jpg (download) | 120.3 KB | 2025-03-04 |
| 254_0.jpg (download) | 3.2 MB | 2025-03-04 |
| 255_0.jpg (download) | 134.1 KB | 2025-03-04 |
| 255_1.jpg (download) | 149.5 KB | 2025-03-04 |
| 255_2.jpg (download) | 129.5 KB | 2025-03-04 |
| 256_0.jpg (download) | 134.3 KB | 2025-03-04 |
| 256_1.jpg (download) | 130.1 KB | 2025-03-04 |
| 257_0.jpg (download) | 118.3 KB | 2025-03-04 |
| 257_1.jpg (download) | 118.2 KB | 2025-03-04 |
| 258_0.jpg (download) | 117.4 KB | 2025-03-04 |
| 258_1.jpg (download) | 115.6 KB | 2025-03-04 |
| 259_0.jpg (download) | 143.7 KB | 2025-03-04 |
| 259_1.jpg (download) | 117.2 KB | 2025-03-04 |
| 259_2.jpg (download) | 126.2 KB | 2025-03-04 |
| 259_3.jpg (download) | 148.0 KB | 2025-03-04 |
| 259_4.jpg (download) | 133.9 KB | 2025-03-04 |
| 259_5.jpg (download) | 157.0 KB | 2025-03-04 |
| 25_0.jpg (download) | 125.4 KB | 2025-03-04 |
| 25_1.jpg (download) | 134.0 KB | 2025-03-04 |
| 260_0.jpg (download) | 161.8 KB | 2025-03-04 |
| 261_0.jpg (download) | 141.3 KB | 2025-03-04 |
| 261_1.jpg (download) | 142.6 KB | 2025-03-04 |
| 262_0.jpg (download) | 123.4 KB | 2025-03-04 |
| 263_0.jpg (download) | 127.2 KB | 2025-03-04 |
| 264_0.jpg (download) | 135.4 KB | 2025-03-04 |
| 265_0.jpg (download) | 122.3 KB | 2025-03-04 |
| 265_1.jpg (download) | 129.1 KB | 2025-03-04 |
| 266_0.jpg (download) | 125.2 KB | 2025-03-04 |
| 267_0.jpg (download) | 132.3 KB | 2025-03-04 |
| 268_0.jpg (download) | 120.4 KB | 2025-03-04 |
| 269_0.jpg (download) | 128.1 KB | 2025-03-04 |
| 269_1.jpg (download) | 129.4 KB | 2025-03-04 |
| 26_0.jpg (download) | 115.2 KB | 2025-03-04 |
| 26_1.jpg (download) | 113.5 KB | 2025-03-04 |
| 270_0.jpg (download) | 121.6 KB | 2025-03-04 |
| 270_1.jpg (download) | 116.2 KB | 2025-03-04 |
| 271_0.jpg (download) | 138.7 KB | 2025-03-04 |
| 272_0.jpg (download) | 127.3 KB | 2025-03-04 |
| 272_1.jpg (download) | 138.7 KB | 2025-03-04 |
| 273_0.jpg (download) | 127.0 KB | 2025-03-04 |
| 274_0.jpg (download) | 127.1 KB | 2025-03-04 |
| 275_0.jpg (download) | 135.0 KB | 2025-03-04 |
| 275_1.jpg (download) | 145.0 KB | 2025-03-04 |
| 275_2.jpg (download) | 127.7 KB | 2025-03-04 |
| 276_0.jpg (download) | 137.5 KB | 2025-03-04 |
| 276_1.jpg (download) | 143.4 KB | 2025-03-04 |
| 276_2.jpg (download) | 145.1 KB | 2025-03-04 |
| 277_0.jpg (download) | 151.9 KB | 2025-03-04 |
| 277_1.jpg (download) | 129.8 KB | 2025-03-04 |
| 277_2.jpg (download) | 129.6 KB | 2025-03-04 |
| 278_0.jpg (download) | 3.3 MB | 2025-03-04 |
| 278_1.jpg (download) | 3.3 MB | 2025-03-04 |
| 279_0.jpg (download) | 154.6 KB | 2025-03-04 |
| 279_1.jpg (download) | 134.2 KB | 2025-03-04 |
| 27_0.jpg (download) | 134.9 KB | 2025-03-04 |
| 27_1.jpg (download) | 122.0 KB | 2025-03-04 |
| 280_0.jpg (download) | 128.3 KB | 2025-03-04 |
| 280_1.jpg (download) | 112.4 KB | 2025-03-04 |
| 281_0.jpg (download) | 117.9 KB | 2025-03-04 |
| 281_1.jpg (download) | 123.4 KB | 2025-03-04 |
| 282_0.jpg (download) | 118.9 KB | 2025-03-04 |
| 282_1.jpg (download) | 120.5 KB | 2025-03-04 |
| 283_0.jpg (download) | 122.4 KB | 2025-03-04 |
| 283_1.jpg (download) | 136.3 KB | 2025-03-04 |
| 284_0.jpg (download) | 131.5 KB | 2025-03-04 |
| 284_1.jpg (download) | 139.5 KB | 2025-03-04 |
| 285_0.jpg (download) | 3.2 MB | 2025-03-04 |
| 286_0.jpg (download) | 130.7 KB | 2025-03-04 |
| 286_1.jpg (download) | 128.5 KB | 2025-03-04 |
| 287_0.jpg (download) | 3.4 MB | 2025-03-04 |
| 287_1.jpg (download) | 3.2 MB | 2025-03-04 |
| 288_0.jpg (download) | 3.2 MB | 2025-03-04 |
| 28_0.jpg (download) | 122.4 KB | 2025-03-04 |
| 28_1.jpg (download) | 117.3 KB | 2025-03-04 |
| 28_2.jpg (download) | 149.4 KB | 2025-03-04 |
| 28_3.jpg (download) | 124.0 KB | 2025-03-04 |
| 29_0.jpg (download) | 107.3 KB | 2025-03-04 |
| 29_1.jpg (download) | 118.7 KB | 2025-03-04 |
| 29_2.jpg (download) | 119.4 KB | 2025-03-04 |
| 2_0.jpg (download) | 105.5 KB | 2025-03-04 |
| 2_1.jpg (download) | 106.2 KB | 2025-03-04 |
| 30_0.jpg (download) | 148.0 KB | 2025-03-04 |
| 31_0.jpg (download) | 131.6 KB | 2025-03-04 |
| 31_1.jpg (download) | 129.9 KB | 2025-03-04 |
| 31_2.jpg (download) | 142.8 KB | 2025-03-04 |
| 31_3.jpg (download) | 134.1 KB | 2025-03-04 |
| 31_4.jpg (download) | 114.8 KB | 2025-03-04 |
| 31_5.jpg (download) | 152.4 KB | 2025-03-04 |
| 31_6.jpg (download) | 147.5 KB | 2025-03-04 |
| 32_0.jpg (download) | 124.8 KB | 2025-03-04 |
| 32_1.jpg (download) | 104.8 KB | 2025-03-04 |
| 32_2.jpg (download) | 105.4 KB | 2025-03-04 |
| 33_0.jpg (download) | 131.8 KB | 2025-03-04 |
| 33_1.jpg (download) | 133.8 KB | 2025-03-04 |
| 34_0.jpg (download) | 118.3 KB | 2025-03-04 |
| 34_1.jpg (download) | 121.8 KB | 2025-03-04 |
| 34_2.jpg (download) | 128.5 KB | 2025-03-04 |
| 34_3.jpg (download) | 114.9 KB | 2025-03-04 |
| 35_0.jpg (download) | 119.5 KB | 2025-03-04 |
| 35_1.jpg (download) | 132.1 KB | 2025-03-04 |
| 36_0.jpg (download) | 114.8 KB | 2025-03-04 |
| 36_1.jpg (download) | 135.1 KB | 2025-03-04 |
| 36_10.jpg (download) | 143.2 KB | 2025-03-04 |
| 36_11.jpg (download) | 151.0 KB | 2025-03-04 |
| 36_2.jpg (download) | 130.3 KB | 2025-03-04 |
| 36_3.jpg (download) | 153.2 KB | 2025-03-04 |
| 36_4.jpg (download) | 158.5 KB | 2025-03-04 |
| 36_5.jpg (download) | 148.3 KB | 2025-03-04 |
| 36_6.jpg (download) | 138.6 KB | 2025-03-04 |
| 36_7.jpg (download) | 144.0 KB | 2025-03-04 |
| 36_8.jpg (download) | 128.3 KB | 2025-03-04 |
| 36_9.jpg (download) | 147.2 KB | 2025-03-04 |
| 37_0.jpg (download) | 131.2 KB | 2025-03-04 |
| 38_0.jpg (download) | 146.7 KB | 2025-03-04 |
| 39_0.jpg (download) | 105.4 KB | 2025-03-04 |
| 39_1.jpg (download) | 113.9 KB | 2025-03-04 |
| 39_2.jpg (download) | 115.6 KB | 2025-03-04 |
| 39_3.jpg (download) | 121.3 KB | 2025-03-04 |
| 3_0.jpg (download) | 110.5 KB | 2025-03-04 |
| 3_1.jpg (download) | 110.1 KB | 2025-03-04 |
| 40_0.jpg (download) | 113.1 KB | 2025-03-04 |
| 40_1.jpg (download) | 144.2 KB | 2025-03-04 |
| 41_0.jpg (download) | 119.2 KB | 2025-03-04 |
| 42_0.jpg (download) | 115.6 KB | 2025-03-04 |
| 42_1.jpg (download) | 106.9 KB | 2025-03-04 |
| 42_2.jpg (download) | 119.0 KB | 2025-03-04 |
| 42_3.jpg (download) | 109.6 KB | 2025-03-04 |
| 43_0.jpg (download) | 107.7 KB | 2025-03-04 |
| 43_1.jpg (download) | 115.7 KB | 2025-03-04 |
| 43_2.jpg (download) | 114.5 KB | 2025-03-04 |
| 43_3.jpg (download) | 135.1 KB | 2025-03-04 |
| 44_0.jpg (download) | 112.1 KB | 2025-03-04 |
| 44_1.jpg (download) | 117.7 KB | 2025-03-04 |
| 44_2.jpg (download) | 115.1 KB | 2025-03-04 |
| 44_3.jpg (download) | 124.8 KB | 2025-03-04 |
| 44_4.jpg (download) | 156.7 KB | 2025-03-04 |
| 44_5.jpg (download) | 126.1 KB | 2025-03-04 |
| 44_6.jpg (download) | 131.8 KB | 2025-03-04 |
| 45_0.jpg (download) | 121.5 KB | 2025-03-04 |
| 46_0.jpg (download) | 114.3 KB | 2025-03-04 |
| 46_1.jpg (download) | 94.3 KB | 2025-03-04 |
| 47_0.jpg (download) | 117.7 KB | 2025-03-04 |
| 47_1.jpg (download) | 131.9 KB | 2025-03-04 |
| 47_2.jpg (download) | 128.0 KB | 2025-03-04 |
| 47_3.jpg (download) | 126.9 KB | 2025-03-04 |
| 47_4.jpg (download) | 124.3 KB | 2025-03-04 |
| 47_5.jpg (download) | 123.1 KB | 2025-03-04 |
| 47_6.jpg (download) | 113.1 KB | 2025-03-04 |
| 47_7.jpg (download) | 116.8 KB | 2025-03-04 |
| 48_0.jpg (download) | 152.9 KB | 2025-03-04 |
| 49_0.jpg (download) | 114.8 KB | 2025-03-04 |
| 49_1.jpg (download) | 116.6 KB | 2025-03-04 |
| 4_0.jpg (download) | 115.5 KB | 2025-03-04 |
| 50_0.jpg (download) | 114.9 KB | 2025-03-04 |
| 50_1.jpg (download) | 113.5 KB | 2025-03-04 |
| 50_2.jpg (download) | 100.4 KB | 2025-03-04 |
| 51_0.jpg (download) | 122.1 KB | 2025-03-04 |
| 52_0.jpg (download) | 123.7 KB | 2025-03-04 |
| 52_1.jpg (download) | 135.8 KB | 2025-03-04 |
| 53_0.jpg (download) | 124.1 KB | 2025-03-04 |
| 53_1.jpg (download) | 130.7 KB | 2025-03-04 |
| 53_2.jpg (download) | 110.0 KB | 2025-03-04 |
| 53_3.jpg (download) | 127.4 KB | 2025-03-04 |
| 53_4.jpg (download) | 125.9 KB | 2025-03-04 |
| 54_0.jpg (download) | 130.6 KB | 2025-03-04 |
| 54_1.jpg (download) | 118.7 KB | 2025-03-04 |
| 54_2.jpg (download) | 118.8 KB | 2025-03-04 |
| 54_3.jpg (download) | 132.1 KB | 2025-03-04 |
| 55_0.jpg (download) | 111.0 KB | 2025-03-04 |
| 55_1.jpg (download) | 122.4 KB | 2025-03-04 |
| 55_2.jpg (download) | 148.7 KB | 2025-03-04 |
| 55_3.jpg (download) | 160.9 KB | 2025-03-04 |
| 55_4.jpg (download) | 118.6 KB | 2025-03-04 |
| 56_0.jpg (download) | 124.6 KB | 2025-03-04 |
| 56_1.jpg (download) | 124.6 KB | 2025-03-04 |
| 56_2.jpg (download) | 128.5 KB | 2025-03-04 |
| 56_3.jpg (download) | 128.6 KB | 2025-03-04 |
| 57_0.jpg (download) | 130.3 KB | 2025-03-04 |
| 57_1.jpg (download) | 142.7 KB | 2025-03-04 |
| 57_2.jpg (download) | 133.1 KB | 2025-03-04 |
| 58_0.jpg (download) | 117.5 KB | 2025-03-04 |
| 58_1.jpg (download) | 114.3 KB | 2025-03-04 |
| 58_2.jpg (download) | 103.8 KB | 2025-03-04 |
| 59_0.jpg (download) | 123.2 KB | 2025-03-04 |
| 59_1.jpg (download) | 131.0 KB | 2025-03-04 |
| 5_0.jpg (download) | 117.8 KB | 2025-03-04 |
| 5_1.jpg (download) | 115.3 KB | 2025-03-04 |
| 60_0.jpg (download) | 138.6 KB | 2025-03-04 |
| 61_0.jpg (download) | 108.4 KB | 2025-03-04 |
| 61_1.jpg (download) | 112.3 KB | 2025-03-04 |
| 61_2.jpg (download) | 112.1 KB | 2025-03-04 |
| 61_3.jpg (download) | 119.5 KB | 2025-03-04 |
| 61_4.jpg (download) | 119.3 KB | 2025-03-04 |
| 62_0.jpg (download) | 97.6 KB | 2025-03-04 |
| 62_1.jpg (download) | 119.9 KB | 2025-03-04 |
| 62_2.jpg (download) | 112.0 KB | 2025-03-04 |
| 62_3.jpg (download) | 104.2 KB | 2025-03-04 |
| 62_4.jpg (download) | 120.5 KB | 2025-03-04 |
| 62_5.jpg (download) | 132.4 KB | 2025-03-04 |
| 63_0.jpg (download) | 122.7 KB | 2025-03-04 |
| 63_1.jpg (download) | 146.0 KB | 2025-03-04 |
| 63_2.jpg (download) | 133.9 KB | 2025-03-04 |
| 63_3.jpg (download) | 117.0 KB | 2025-03-04 |
| 63_4.jpg (download) | 122.8 KB | 2025-03-04 |
| 63_5.jpg (download) | 111.4 KB | 2025-03-04 |
| 63_6.jpg (download) | 109.8 KB | 2025-03-04 |
| 64_0.jpg (download) | 123.9 KB | 2025-03-04 |
| 64_1.jpg (download) | 128.4 KB | 2025-03-04 |
| 64_2.jpg (download) | 144.0 KB | 2025-03-04 |
| 64_3.jpg (download) | 148.7 KB | 2025-03-04 |
| 64_4.jpg (download) | 127.2 KB | 2025-03-04 |
| 65_0.jpg (download) | 132.2 KB | 2025-03-04 |
| 65_1.jpg (download) | 117.9 KB | 2025-03-04 |
| 65_2.jpg (download) | 129.2 KB | 2025-03-04 |
| 65_3.jpg (download) | 124.6 KB | 2025-03-04 |
| 65_4.jpg (download) | 113.2 KB | 2025-03-04 |
| 65_5.jpg (download) | 111.2 KB | 2025-03-04 |
| 65_6.jpg (download) | 121.8 KB | 2025-03-04 |
| 65_7.jpg (download) | 119.4 KB | 2025-03-04 |
| 66_0.jpg (download) | 122.6 KB | 2025-03-04 |
| 66_1.jpg (download) | 121.5 KB | 2025-03-04 |
| 66_2.jpg (download) | 118.5 KB | 2025-03-04 |
| 66_3.jpg (download) | 115.3 KB | 2025-03-04 |
| 66_4.jpg (download) | 112.1 KB | 2025-03-04 |
| 66_5.jpg (download) | 128.1 KB | 2025-03-04 |
| 67_0.jpg (download) | 152.1 KB | 2025-03-04 |
| 68_0.jpg (download) | 116.8 KB | 2025-03-04 |
| 68_1.jpg (download) | 109.1 KB | 2025-03-04 |
| 69_0.jpg (download) | 147.2 KB | 2025-03-04 |
| 69_1.jpg (download) | 156.8 KB | 2025-03-04 |
| 6_0.jpg (download) | 131.0 KB | 2025-03-04 |
| 6_1.jpg (download) | 127.4 KB | 2025-03-04 |
| 70_0.jpg (download) | 111.4 KB | 2025-03-04 |
| 70_1.jpg (download) | 121.0 KB | 2025-03-04 |
| 70_2.jpg (download) | 112.4 KB | 2025-03-04 |
| 71_0.jpg (download) | 126.1 KB | 2025-03-04 |
| 71_1.jpg (download) | 129.5 KB | 2025-03-04 |
| 72_0.jpg (download) | 129.7 KB | 2025-03-04 |
| 72_1.jpg (download) | 130.2 KB | 2025-03-04 |
| 72_2.jpg (download) | 119.9 KB | 2025-03-04 |
| 72_3.jpg (download) | 133.2 KB | 2025-03-04 |
| 73_0.jpg (download) | 126.3 KB | 2025-03-04 |
| 73_1.jpg (download) | 128.9 KB | 2025-03-04 |
| 73_2.jpg (download) | 131.9 KB | 2025-03-04 |
| 73_3.jpg (download) | 145.4 KB | 2025-03-04 |
| 74_0.jpg (download) | 144.6 KB | 2025-03-04 |
| 74_1.jpg (download) | 116.6 KB | 2025-03-04 |
| 75_0.jpg (download) | 122.2 KB | 2025-03-04 |
| 75_1.jpg (download) | 112.6 KB | 2025-03-04 |
| 75_2.jpg (download) | 127.0 KB | 2025-03-04 |
| 76_0.jpg (download) | 115.6 KB | 2025-03-04 |
| 76_1.jpg (download) | 119.3 KB | 2025-03-04 |
| 77_0.jpg (download) | 131.3 KB | 2025-03-04 |
| 77_1.jpg (download) | 134.0 KB | 2025-03-04 |
| 77_2.jpg (download) | 133.2 KB | 2025-03-04 |
| 77_3.jpg (download) | 134.3 KB | 2025-03-04 |
| 78_0.jpg (download) | 125.1 KB | 2025-03-04 |
| 78_1.jpg (download) | 123.0 KB | 2025-03-04 |
| 79_0.jpg (download) | 130.7 KB | 2025-03-04 |
| 79_1.jpg (download) | 122.1 KB | 2025-03-04 |
| 7_0.jpg (download) | 120.2 KB | 2025-03-04 |
| 80_0.jpg (download) | 115.6 KB | 2025-03-04 |
| 80_1.jpg (download) | 113.1 KB | 2025-03-04 |
| 80_2.jpg (download) | 112.2 KB | 2025-03-04 |
| 81_0.jpg (download) | 108.6 KB | 2025-03-04 |
| 81_1.jpg (download) | 113.2 KB | 2025-03-04 |
| 81_2.jpg (download) | 166.1 KB | 2025-03-04 |
| 82_0.jpg (download) | 127.7 KB | 2025-03-04 |
| 82_1.jpg (download) | 114.5 KB | 2025-03-04 |
| 83_0.jpg (download) | 123.0 KB | 2025-03-04 |
| 83_1.jpg (download) | 134.7 KB | 2025-03-04 |
| 84_0.jpg (download) | 117.2 KB | 2025-03-04 |
| 84_1.jpg (download) | 130.0 KB | 2025-03-04 |
| 85_0.jpg (download) | 131.3 KB | 2025-03-04 |
| 86_0.jpg (download) | 112.8 KB | 2025-03-04 |
| 86_1.jpg (download) | 112.8 KB | 2025-03-04 |
| 87_0.jpg (download) | 116.8 KB | 2025-03-04 |
| 87_1.jpg (download) | 126.2 KB | 2025-03-04 |
| 87_2.jpg (download) | 139.9 KB | 2025-03-04 |
| 87_3.jpg (download) | 123.5 KB | 2025-03-04 |
| 87_4.jpg (download) | 130.4 KB | 2025-03-04 |
| 87_5.jpg (download) | 120.0 KB | 2025-03-04 |
| 87_6.jpg (download) | 124.3 KB | 2025-03-04 |
| 88_0.jpg (download) | 110.2 KB | 2025-03-04 |
| 89_0.jpg (download) | 112.1 KB | 2025-03-04 |
| 8_0.jpg (download) | 132.2 KB | 2025-03-04 |
| 8_1.jpg (download) | 109.1 KB | 2025-03-04 |
| 8_2.jpg (download) | 111.6 KB | 2025-03-04 |
| 8_3.jpg (download) | 118.9 KB | 2025-03-04 |
| 90_0.jpg (download) | 116.1 KB | 2025-03-04 |
| 91_0.jpg (download) | 125.5 KB | 2025-03-04 |
| 91_1.jpg (download) | 117.5 KB | 2025-03-04 |
| 91_2.jpg (download) | 124.0 KB | 2025-03-04 |
| 91_3.jpg (download) | 126.3 KB | 2025-03-04 |
| 91_4.jpg (download) | 137.0 KB | 2025-03-04 |
| 91_5.jpg (download) | 143.2 KB | 2025-03-04 |
| 91_6.jpg (download) | 105.8 KB | 2025-03-04 |
| 91_7.jpg (download) | 120.5 KB | 2025-03-04 |
| 92_0.jpg (download) | 111.9 KB | 2025-03-04 |
| 92_1.jpg (download) | 129.8 KB | 2025-03-04 |
| 93_0.jpg (download) | 119.4 KB | 2025-03-04 |
| 93_1.jpg (download) | 127.4 KB | 2025-03-04 |
| 94_0.jpg (download) | 120.5 KB | 2025-03-04 |
| 94_1.jpg (download) | 120.5 KB | 2025-03-04 |
| 94_2.jpg (download) | 124.4 KB | 2025-03-04 |
| 94_3.jpg (download) | 131.4 KB | 2025-03-04 |
| 95_0.jpg (download) | 99.0 KB | 2025-03-04 |
| 95_1.jpg (download) | 109.0 KB | 2025-03-04 |
| 96_0.jpg (download) | 113.4 KB | 2025-03-04 |
| 96_1.jpg (download) | 141.6 KB | 2025-03-04 |
| 96_2.jpg (download) | 119.7 KB | 2025-03-04 |
| 97_0.jpg (download) | 128.4 KB | 2025-03-04 |
| 98_0.jpg (download) | 103.8 KB | 2025-03-04 |
| 99_0.jpg (download) | 125.0 KB | 2025-03-04 |
| 99_1.jpg (download) | 123.3 KB | 2025-03-04 |
| 99_2.jpg (download) | 112.1 KB | 2025-03-04 |
| 99_3.jpg (download) | 117.1 KB | 2025-03-04 |
| 99_4.jpg (download) | 130.3 KB | 2025-03-04 |
| 99_5.jpg (download) | 125.6 KB | 2025-03-04 |
| 9_0.jpg (download) | 160.4 KB | 2025-03-04 |
| 9_1.jpg (download) | 135.3 KB | 2025-03-04 |